A mai napig még sok a tévhit körülötte, így ezzel a cikkünkkel szeretnénk tisztába tenni a dolgokat. A kullancs okozta betegségek kutyáknál, mint például a babézia, rendkívüli odafigyelést igényelnek. Cikkünkben érinteni fogjuk, hogy mely faj lehet a „babézia kullancs”, melyek a babézia tünetei kutya esetén, és mire számíts a babézia gyógyulási ideje kapcsán. De persze a megelőzésről is fogunk néhány szót ejteni. Így nem kell olyan kereséseket bepötyögnöd többet mint a „babézia kutya gyakori kérdések”, hiszen most igyekszünk mindenre választ adni!
Nézzük is sorba a dolgokat! Frissítve, update verzióban a cikk alján!
A babesiosis okozója: a kullancsban rejtőző egysejtű
Bár a világban, így Magyarországon is nagyon sok féle kullancsfaj él (ne ess hasra, de konkrétan 42 faj).
A kutyánk számára két faj különösen veszélyes, már ami a babesia dolgot illeti. Az egyik a kutya kullancs (Dermacentor reticulatus). A másik pedig egy úgynevezett barna kutyakullancs (Rhipicephalus sanguineus). Ez utóbbi csak az elmúlt pár évben jelent meg Magyarországon és akár a lakásban is megtelepedhet, ott is terjesztve a kórokozót. A kullancsok további kórokozókat is továbbíthatnak ezen felül.
A nagyon egyszerűre lefordított kutya babézia nevű egysejtű (Babesia canis canis) a fent említett két kullancsfaj nyálmirigyében élnek és várakoznak. A végső áldozataikra rajtra készen , a kutya félékre. Ha kíváncsi vagy, hogy a babézia macska esetén is okozhat-e problémákat, olvass tovább bejegyzésünkben.
A Babesia gibsoni nevű kórokozó is megérdemli, hogy megemlítsük. Ez az ún. kisbabesiosis okozója, és már hazánkban is diagnosztizáltak ilyen fertőzöttségű kutyát. A rossz hír az, hogy a klasszikus babesiosis kezelésre (lásd lentebb), nem javul a kutya….
A kullancsokat a szakértők két csoportra szokták osztani: a szemmel rendelkező és a vak kullancsokra. Míg az előbbi típus az aljnövényzetről keresi áldozatát, a másik típus felülről pottyan rá az alanyra, legyen az macska, őz, róka, kutya vagy akár mi, emberek.
Sajnos a klímaváltozással új fajok is megjelennek nálunk is, amelyek nem csak háziállatainkra, hanem ránk is komoly veszélyt jelenthetnek ezek a kullancsok által terjesztett kórokozókkal. Persze nem minden barna kullancs fertőző, de egy életveszélyes betegség esetén ki akarna kockáztatni?
Mikor alakulhat ki a babéziózis kutyáknál?
A fertőzött kullancs esetében, amikor a kutyánkra aggaszkodik és szívni kezdi a vérét, egy bizonyos folyamat indul el. A vérszívás utáni 48-72 órában a legnagyobb az esély arra, hogy a babézia egysejtű a kullancs nyálával a kutyánkba kerüljön. Ezután pedig az babésia elkezdi a veszélyes hadjáratot kutyánk egészségére nézve. A babesia tünetei ilyenkor, már gyakran szemmel láthatóak mindenki számára! Cikkünk további részében, részletesen beszámolunk mik is ezek a tünetek.
Van babézia embereknél?
A babézia ugyan csak házikedvenceinkre veszélyesek, de sajnos rájuk nagyon. Még az életükbe is kerülhet, ha egy fertőzött kullanccsal találkoznak. Emberekre ez a fajta kullancs okozta betegség nem jelent veszély. Úgyhogy a babézia tünetei embereknél nem valószínűsíthetőek.
A macskám is lehet babéziás?
Nem, egyelőre nem terjedt el olyan változata a betegségnek, amely a cirmosokra veszélyt jelentene. Így ha a macska babézia tünetei után kutatsz, sajnos másfajta betegség állhat macskád problémája mögött kedves olvasó.
Kullancs van a kutyámban, mit tegyek?
Az első és legfontosabb dolog, hogy ha kullancsot találunk a kutyánkban, mihamarabb távolítsuk el anélkül, hogy agyon nyomorgatnánk azt a soklábú veszélyforrást. Felejtsük el nagyanyáink jótanácsát, miszerint dörzsölgessük gyufával, kenjük be olajjal stb.
Ezek az ősöreg trükkök maximum annyira jók, hogy a fertőzött kullancs nyála csak még hamarabb kerül bele kutyánk vérébe.
Helyette inkább szerezz be egy jó öreg kullancscsipeszt a kutyakajástól, amivel a grabancánál könnyen el tudod kapni a fenevadat és egy mozdulattal kirántani. Minél hamarabb kiszeded, annál kevesebb lesz az esélye, hogy a babézia kutya pajtinknál kialakuljon.
Ne ijedj meg, ha a feje benne marad a kutyád bőrében, majd kilökődik pár nap múlva. Most pedig nézzük meg, hogy mik lehetnek a babézia tünetei kutyáknál, a következő fejezetben.
A babézia jelei, a babéziózis kutya tünetei
Sajnos azt figyelembe kell venned, hogy a betegség lappangási ideje 2 nap és 3 hét között van. Így nagyon „ravasz” betegségnek számít a babezia kutyaknal.
Amikor kutyusodnak kullancsot találsz, mindig írd fel a naptáradba! Így ha valamilyen furcsaságot észlelsz, eszedbe juthat, hogy a babézia kutya tünetei láthatóak a kutyádon!
Sok esetben a gazdi csak annyival megy a rendelőbe a kutyusával, hogy „valami nem stimmel vele”. Első tünetek között a gazdik azt jelzik, hogy étvágytalan kissé, levertebb a kutya.
Vagy már esetleg a tipikusnak számító sötét színű vizelet tünettel keresik fel az állatorvosukat a gazdik. De ez egy alattomos betegség, ugyanis nem minden babéziás kutya esetén jelentkeznek a tünetek összessége. Lehet, hogy a lenti listából csak kettő-három lesz jellemző a babeziózis tünetei –ből a kedvencednél.
Milyen tünetek lehetnek gyanúsak a gazdi számára, hogy a babézia lehet a gond?
A babezia tunetek sora igen hosszú, azonban nem mindig jelentkezik minden tüntet. Illetve vannak, olyan esetek is, amikor egyből babesiára gondolnánk. Például, ha megjelenik a (barna vizelet kutyáknál), azonban ez is utalhat más betegségekre. Ezért is érdemes meglátogatni állatorvosunkat a pontos diagnózisért.
· levert, bágyadt a kutya
· fáradékonyság is lehet tünet
· étvágytalanság is lehet a babezia tünetei között
· magas láz (41 42 fok)
· sokat iszik (a láz miatt)
· halvány nyálkahártyák is jelentkezhetnek a babéziózis kutya esetén
· sárgaság ( a májkárosodás miatt )
· ha úgy tűnik, hogy a kutya véreset vizel az szinte biztos hogy babézia kutyáknál
Saját tapasztalatomat szeretném megosztani veled. Egy ideig Budapesten éltünk panel környezetben. A kiskutyám járt velem dolgozni, így tényleg csak munka előtt és után 5-5 percekre szaladtunk le. És mégis sikerült két kullancsot is összeszednie. Így óriási tévhit az, hogy csak az erdőben, mezőn szaladgáló kutyákra veszélyes betegség a babézia.

A babezia sajnos nem válogat. Ugyanolyan veszélyes egy 8 hetes kiskutyára, egy kistermetű panelban élő és csak pisi szünetekre lejövő kutyára, mint egy nagytestű házőrzőre. Szintén lehet ugyanúgy babezias kutya akkor is, ha rövid, akkor is ha nagy, loncsos bundával rendelkezik. Ugyanis a hónalj, de akár a fülek belsejénél vagy a tappancsok között is megbújhat.
Másik gyakori tévhit, hogy télen nincs kullancs. Ez ugyan féligazság is lehetne, ha a régi telek lennének, a popsifagyasztó -20 fokokkal, és vastag hótakaróval. Azonban a klímaváltozásnak köszönhetően nincsenek már dermesztő telek, így konkrétan egész évben kullancs szezon van és fennáll a kutya kullancs fertőzés lehetősége.
Mit okoz a babézia?
A babézia (Babesia canis canis), mint egysejtű kórokozó lényegében közti hordozónak használja a kullancsot. Végső célja ennek az egysejtű parazita lénynek, hogy a kutya testébe jutva vörösvérsejtekben szaporodjon. Ezt pedig úgy teszi, hogy a kullancs nyálmirigyében tartózkodik és a vérszívás hatására aktivizálja magát, és kb. 48 óra múlva a kutya szervezetébe kerül. Ha több kisállatod is van és az egyiket utolérte ezt a csúnya kullancs kutya betegség, valószínleg aggódsz, hogy másik kisállatod beteg ne legyen. De ne aggódj, ebből a szempontból nem kell félned, hogy a babézia fertőző.
A lappangási idő, mint fentebb említettük 2 nap és 2-3 hét között terjed, és nem mindig jelentkezik minden tünet a kutyáknál. Ezért is nehezebb néha kideríteni, hogy miért is beteg a kutyánk.
Felkerestük dr. Sárközi Rita állatorvost Hajdúszoboszlóról , hogy mondja el nekünk, mit tesz a babézia a kutyák szervezetében. Mélyebb betekintést kaptunk arról, hogy a fertőzött kullancs csípés tünetei kutyáknál, miért is alakulnak így. A következő sorok az ő „tollából’ íródtak:
„A kutya babézia nem csupán annyit tesz, hogy tönkre teszi a kutya vörös vérsejtjeit. Ezzel egy egész sor folyamatot és ezzel egy komoly betegség együttest okoz. Kezelés nélkül akár el is pusztulhat a kutya.
A parazita fehérjéi, vagy azoknak bomlástermékei megváltoztatják a vörösvérsejtek fehérjéit. És ezeket idegen sejtekként kezei az immunrendszer, tehát támadást intéz a saját vörösvérsejtjei ellen. A lebomló vörösvérsejtek színanyagai, azaz a vérfesték anyagok okozzák a sötét, véresnek tűnő vizeletet.( vagyis valójában nem is az történik, hogy a kutya véreset vizel kullancs fertőzés után)
Ezek a molekulák pedig a vesét is károsítják, és nem tudják a méregtelenítő funkciót ellátni, így kialakulhat egy heveny veseelégtelenség. Ami ha nagyon súlyosfokú, tehát nincs, vagy alig van vizelettermelés, akkor dialízisre szorul a beteg. Az egyszerű infúziós kezelés nem oldja meg a problémát.
A lép megnagyobbodhat, hiszen az a vörösvértestképző központ. Így a lépeltávolításon átesett kutyákat fokozottan kell védeni a babesiosistól, mert számukra gyors lefolyású, végzetes kimenetelű a betegség.
Amennyiben az immunrendszer igazán komolyan veszi a támadást a saját vörösvérsejtjeivel szemben, akkor kialakul az immunhemolitikus anaemia. Ekkor olyan nagyfokú a vérveszteség, hogy vérátömlesztésre is szükség van.
Ritkán, de előfordul, hogy hasnyálmirigy-gyulladás lép fel. Ennek a tünete hányás, esetleg hasmenés lehet."- mondta el nekünk Rita doktornő.
A babézia lefolyása és súlyossága nagyon eltérő lehet. Minden esetben érdemes a kullancs eltávolítása után figyelni és mihamarabb orvoshoz fordulni a legkisebb tünet jelentkezése esetén is!
Van babézia elleni oltás? És megelőzésre is adható a babézia oltás?
Röviden a válasz az lenne, hogy van is oltás és nem is. Hiszen nem a hagyományos értelemben vett oltásról van szó, amely hosszú távú védelmet nyújt a kutyáknak bizonyos betegségek ellen, mint mondjuk a parvovírus ellen.
+ Már van bolhák és kullancsok ellen oltás, olvasd el a cikkünk végét!
A Babesia canis canis gyógykezelésére imidokarb hatóanyagú injekciós készítményt használunk. Ezt minél előbb be kell adni a betegnek, hogy a súlyos tüneteket megelőzzük. Ez egy rendkívül csípős, szövetizgató injekció. Emiatt még a legszelídebb kutyák is képesek ilyenkor krokodil módjára viselkedni, így a szuri beadása előtt szájkosár feltétele erősen javasolt lehet.
Tehát megelőzésre nincs oltás hosszú távra oltás által, a szó szoros értelmében, babézia ellen!
Bár vadászkutyákat, illetve rendkívül fertőzött területeken az imidokarb hatóanyagot (Imizol injekció) nem csak kezelés, hanem megelőzés során is használták régen (Mert 1 hónapig még véd az újra fertőződés ellen.)
De ma már rendkívül jó és biztonságos készítmények állnak rendelkezésünkre. Ezeket megelőzésképpen, hogy megelőzzük, hogy a babézia kezelése legyen szükséges,szájon át, spot on vagy nyakörv formájában alkalmazhatunk. De erről írunk a későbbiekben még.
Sok gazdi keveri a Lyme kór elleni oltással, amelyet viszont van lehetősége a gazdinak beadatni a kutyájának évente.
A Lyme kórt szintén kullancsok terjesztik, azonban az egy baktérium okozta megbetegedés. Sokáig, akár hónapokig lappanghat, és viszonylag sokára jut el az állatorvos a betegség felderítéséhez, mert a tünetei más betegségekre is utalhatnak. A Lyme kór ízületi fájdalmakkal, levertséggel, szőrhullással, hányás hasmenés tünettel, néha magas lázzal jár. Antibiotikum kúrával gyógyítható.
A babézia elleni oltás mellékhatásai
Az emberi gyógyszerekhez hasonlóan, minden gyógyszer egyben méreg is lehet. Gondoljunk abba bele, hogy még egy egyszerű fájdalom csillapítónak is milyen hosszú a betegtájékoztatója és a lehetséges mellékhatások listája.
Mellékhatások az Imizol injekció esetén is előfordulhatnak. Azonban amikor mérlegelnünk kell, hogy az Imizol vs. babézia kórokozó mellékhatásai, akkor a legtöbb gazdi és állatorvos is az Imizol beadása mellett dönt. Annak ellenére, hogy az imozil injekció mellékhatásai néha nem kellemesek, még mindig ez a leginkább javasolt megoldás, a gyógyulásért.
Gyakran feltett kérdés, hogy az imizol mennyi idő alatt hat?
A leggyakoribb mellékhatása a készítménynek a beadást követő pár órán belül jelentkező hányás, nyálzás. Ezért igyekezzünk a beteg állatot aznap már nem etetni, ezzel is csökkentve a hányás és félrenyelés lehetőségét.
Előfordulhat még remegés és izomgörcsök is, ritka esetben. A bőrben, ahová kapta a kutyusunk a szurit, csomó alakulhat ki, azonban ez semmilyen komolyabb gondot nem okoz neki. Esetleg kissé érzékeny lehet a helye, így pár napig ott ne simogassuk, magától el fog múlni majd.
A kezelést meg kell ismételni az állatorvos által előírt napon. (14 nap múlva) Az oltás egyébként körülbelül 1 hónapos védettséget nyújt kutyáknak babézia ellen. De ne gondoljuk azt, hogy ezt a készítményt használjuk kullancsok elleni védelemre, ugyanis ez nem megoldás!
Hogyan zajlik a babézia kezelése kutyáknál?
A fentebb már említett imidokarb nevű injekció mellett természetesen egyéb gyógykezelésekre is szükség van. Az imizol injekció ára általában súlyfüggő!
-Például vénásan alkalmazott infúzióra a vese támogatása miatt. (Kimondottan ajánlott, ha „véreset pisil a kutya”)
-Májvédő készítmények,
-Antibiotikum,
-B vitamin injekció.
-Valamint szteroidos kúra, ha fellép az immunhemolítikus anaemia.
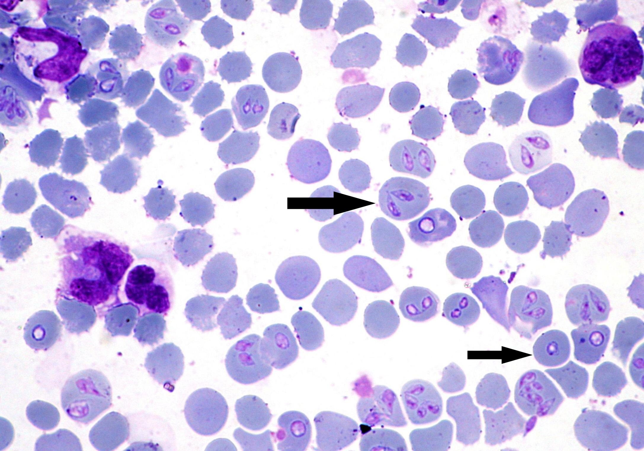
Még a kezelés előtt az állatorvos végezhet egy úgynevezett babézia teszt szerűséget. Ez nem egy olyan dolog, mint egy terhességi gyorsteszt, hanem mikroszkópos vérkenet vizsgálatot jelent.
A betegség nagyon korai stádiumában (azaz a babézia lappangási ideje alatt) viszont előfordulhat, hogy nem látszódik még semmi a mikroszkóp alatt. Ezért fontos, hogy a levett vérből laboratóriumba is legyen küldve, ahol kimutathatják más módszerekkel a kórokozót.
Illetve a vérbiokémia és vérkép segít a betegség súlyosságát megítélni. Ugyanis ettől is függ a babézia kezelése kutyánál. Illetve azt is meg tudják a vérvétel alapján ítélni, hogy a babéziózis kutyáknál mekkora gondot okozott a belső szervekben.
A babéziás kutya etetése, a babézia utáni élet
Mint ahogy olvashattad, a babézia nem egy egyszerű betegség. Nagyon sokféle tünetet és szövődményeket okozhat. A kutya egész immunrendszere leterhelt, a károsodott szerveiről nem is beszélve.
Állatorvosi körökben azt mondják, hogy egy kutya 2 babézia fertőzést képes megfelelő kezelés mellett túlélni, harmadikat már nem fogja sajnos. Mert addigra már a lépe, a vörösvértest-képző központ túlságosan károsodik, a többi szervéről nem is beszélve. Így rendkívül fontos a megelőzés mellett természetesen a megfelelő felépülés is a kutya számára. Valamint, hogy mihamarabb észrevegyük a babézia tünetek megjelenését ebeinknél.
Tegyük fel, hogy a kutyánknak a babézia ellenére van étvágya. Igyekezzünk ilyenkor magas energia tartalmú ételeket kínálni neki. Jó minőségű, szuperprémium száraz eledelt, ha elfogadja, vagy nedves eledelt, mint pl. a Carnilove paté változatok. Ezek magas hústartalmúak, jó illatúak, így szívesen elfogadják a beteg állatok is.
Persze ilyenkor kifejezetten állatorvosi konzervekkel, vagy magas tápanyag tartalmú pasztákkal (Calopet) is próbálkozhatunk étvágytalanság esetén. A lényeg, hogy jusson valami a pocakba, ami erőt ad neki a betegség elleni harcban.
És mit tegyek hosszú távon babézia után?
Ha már leküzdte a betegséget, utána is fontos, hogy még egy jó darabig lehetőleg szuperprémium minőséget kapjon, emellett immunrendszer erősítőt. Adhatsz neki 1-3 hónapos kúrában májvédő készítményt is, mint amilyen a Hepa-pet is.
Mi jó szívvel tudjuk ajánlani immunerősítő gyanánt a Vetri DMG oldalot illetve a gyógygomba kivonatokat tartalmazó K9 Inu Extra készítményt.
Valamint nem árt, ha körülbelül 3-6 hónappal a fertőzés után csináltatunk kutyánknak egy hasi ultrahangot. Illetve egy kontroll vérképet, amivel képet kaphat az állatorvos a kutyánk állapotáról.
A babézia megelőzése
Szerencsére, ma már nagyon sokféle termék közül választhat a gazdi, hogy elkerülje a kullancsok támadását és végső soron ezt az életveszélyes betegséget.
Vannak olyanok, amelyek inkább kiegészítő védekezési formák (pl. geránium olaj, ultrahangos riasztó).
Vannak a riasztó hatású termékek, általában az olcsóbb nyakörvek, amelyek a kullancsok számára kellemetlen illatúak, így elkerülik a kutyánkat.
TABLETTÁS VÉDEKEZÉSI LEHETŐSÉGEK
Bolha-kullancs elleni tabletták
Ezek felszívódva a vérben megfelelő koncentrációban vannak jelen hetekig. Ha egy vérszívó (bolha, kullancs, atka) lakmározni kezd, akkor azok elpusztulnak, ily módon védik nagyfokú hatékonysággal kedvenceinket. Mi leginkább ezek mellett tesszük le a voksunkat, főleg ha sokat járunk kedvencünkkel a szabadban.
A legtöbb ilyen kullancs elleni készítmény bolha ellen is véd, némelyik szúnyog ellen is. Nézzük át egy kicsit tüzetesebben.
Néhány éve jelentek meg a bolha és kullancs elleni termékek között az egyre nagyon népszerűségnek örvendő tabletták, mint amilyen a nálunk is kapható Adtab és Frontpro is.
A legtöbb kutya jutalomfalatként elfogadja, hiszen ízesítettek. Fontos, hogy étkezéssel egybekötve adjuk a kis kutyánknak, mert ezzel biztosítjuk a hatóanyag felszívódását.
A következő tabletták kaphatóak az állatorvosnál:
- Simparica- Nexgard Bolha és kullancs elleni 4 hetes védelem
- Bravecto (bolha kullancs és atka!) de a barna kutyakullancs ellen csak 8 hétig véd!
- Simparica trio (5 hetes védelem!), Nexgard spectra
SPOT ON CSEPPES VÉDEKEZÉS
Ezek előnye, hogy gyorsan felszívódnak, könnyű használni őket. Ha pedig az egyik hatóanyagra érzékeny a kedvencünk, könnyen találunk másfélét, hiszen szélesebb a kínálat cseppekből.
Hátrányuk: ha gyakran fürdik a kutyusod samponnal, akkor veszíthet ennek hatására a csepp hatékonysága. Emellett vigyáznod kell, ha a kutyusod cicával alszik, ugyanis egyes készítmények mérgezőek macskákra nézve.
Bolha kullancs ellen 1 havi védelmet nyújtó cseppek:
- Fypryst, Frontline,Pestigon,
Vannak termékek amelyek kullancsok, szúnyogok, lepkeszúnyogok, legyek és tetvek és bolha ellen is hatásosak egy hónapig, ilyenek például:
- Advantix, Vectra 3d
NYAKÖRVES MEGOLDÁSOK
Sok gazdi kedveli a nyakörveket, hiszen hosszan hatnak, akár 8 hónapon át. Nem kell minden hónapban agyalni, hogy vajon használtuk-e vagy sem. A hosszú hatásidő miatt ráadásul nagyon jó ár érték arányúak is.
Arra azonban oda kell figyelni, hogy egyes nyakörvek nem védenek azonos ideig az egyes élősködők ellen, vagy éppen nem minden külső parazita ellen hatásosak. Emellett pedig, ha sokat jár erdőn-mezőn a kutyánk, vagy a másik kutyával sokat birkóznak, el is hagyhatja.
Az általunk és a gazdik által legjobban kedvelt nyakörvek a következők:
- Kiltix, Foresto ( ezutóbbi ráadásul vízálló is, valamint 8 hónapig is védhet!)
ÚJDONSÁG: INJEKCIÓ KULLANCSOK ÉS BOLHÁK ELLEN!
A Bravecto injekció egy új, 2024 végétől elérhető, hosszú hatású bolha- és kullancsirtó készítmény kutyák számára. Már több állatorvosi rendelőben is elérhető Magyarországon.
Miért különleges a Bravecto injekció?
-Akár 12 hónapos védelem
-Kényelmes megoldás
-Megbízható hatás
-A kevesebb, több- Sokkal kevesebb hatóanyagot kell használni, mint pl. a tabletták esetében, hiszen nem kell az emésztőrendszeren átmennie.
Árában is elég gazdaságosnak mondanánk a kis-közepes kutyák részére. Átlagban 25-60 e forint között mozog, a kutya súlyától függően persze.
_____________________________
Remélem mondanunk sem kell, hogy a séták után nézzük át az állat szőrét, bundáját, fokozott figyelmet fordítva a hajlatokra. A rendszeres fésülés és a bundában keresés során is sokszor találnak kutyakullancs egyedeket a gazdik. Ilyenkor érdemes állatorvoshoz fordulni, és figyelni az erre utalható jeleket, mint amikor „vért pisil a kutya”, fáradt vagy étvágytalan. Nem biztos, hogy szükséges egyből kezelést is kapnia, de jobb félni, mint megijedni. Inkább kapjon szükséges rosszként egy fájdalmas megelőző szurit, mint egy halálos betegséget ezáltal.
A babézia megelőzése havi szinten 1500-5000 ft.-ig terjed, persze a kutya testméretétől függően. Azonban a kutya gyógykezelése, amennyiben beteg lesz, akár több mint 100.000 ft is lehet.
És még akkor arról a veszélyről nem is beszélve, hogy akár el is pusztulhat kedvencünk, amelyet természetesen nem lehet pénzben mérni. Ugye hogy nem éri meg elhanyagolni a védekezést?
